
당뇨와 마찬가지로 고혈압도 망막에 심각한 합병증을 일으킬 수 있다. 고혈압의 유병률이 높아짐에 따라 고혈압 환자의 눈 검진에 대한 중요성이 점점 높아지는데, 오늘은 ‘고혈압성 망막병증(Hypertensive Retinopathy)’에 대해 공부해 보자.내용이 많을 테니까 두 편으로 나눠서 진행하려고 해.1) 어떻게 생겼나? – 병태생리1) 망막순환 자기조절(Autoregulation) – 혈압이 높아지면 일정한 혈류를 유지하기 위해 망막혈관이 수축된다.2) 지속적인 고혈압에서 망막 변화 대부분의 고혈압성 변화는 내측 또는 외측혈액망막(Inner Blood Retinal Barrier; BRB)을 파괴할 만큼 충분하지 않으나 오래 지속되면 문제를 일으킬 수 있다.① 내측혈액망막장벽(Inner BRB) 파괴 → 출혈, 면화반, 망막내지질 침착, 삼출물, 망막모세혈관 폐쇄 ② 망막소동맥의 경화성 변화 : 혈관과 직경의 감소 3) 망막혈성 변화 : 망막소동맥의 유전유괴사(Fibrinoid → 망막부분 파괴) * 혈관찰 안저혈관조영술

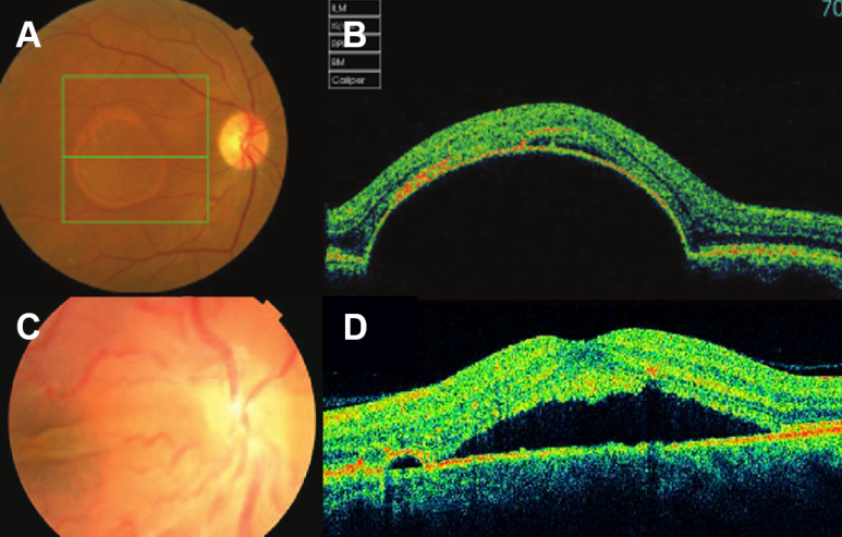
그림 1. 망막 색소 상피 박리-(A) 안 바닥 사진, (B) 광간섭 단층 촬영 (OCT) 사진, 삼출 망막 박리-(C) 안저 사진, (D) OCT 사진 4) 동맥 경화성 변화 : 나이에 따른 변화와 고혈압에 의한 변화가 복합적으로 작용 2. 안저 소견 # 망막 혈관의 변화 (Retinal)1) 소동맥 협착-가장 흔한 소동맥 협착(그림2-A): 만성 고혈압에서 더 분명하게 관찰 ② 소동맥의 혈관 직경 감소-소동맥 비(A/V ratio) 감소(cf. 정상은 2:3)
2) 경화성 변화 ① 소동맥 벽이 두꺼워지면 반사광의 밝기가 감소하는데 이것이 동맥경화 초기 징후이다.② 구리선반사(Copper Wiring, 그림2-B): 소동맥 벽이 보다 두꺼워져 혈관내경이 좁아지면 소동맥에 의한 반사광분산현상 cf. 은선반사(Silver Wiring, 그림2-B): 혈액기둥이 보이지 않지만 형광안저혈관조영술(FAG)에서는 혈액의 흐름이 있다.

그림2.(A) 전반적인 소동맥의 혈관 직경 감소, (B) 동선 반사 (노란색 화살표), 은선 반사 (흰 화살표) ③ 소동맥-정맥 교차 부위 (A-V Crossing) 모양 변화 소동맥이 소정맥 전방에 놓이고 교차하는 장소에서의 공통 외막 (Comoon Adventitial Sheathoon이 Sheath)를 공유하고, ㉠ 소동맥의 방향에

그림3.(A)Gunn’s Sign – 교차부에서 소정맥이 압박, (B) Salus Sign – 교차부 소정맥의 주행방향이 둔각으로 바뀐다.# 혈관 외 망막병변(Extravascular Retinal Lesions) 1) 망막출혈(Retinal Hemorrhage, 망막모세혈관의 폐쇄로 발생-출혈의 형태로 위치를 추정할 수 있음. ① Flame-Shaped: 신경섬유층(Nerve Fiber Layer; NFL) ② 아직 못봤어… blog.naver.com
2) 망막부종과 지질침착 – 경성삼출물(Hard Exudates, 그림4) : 자기조절기능을 초과한 BRB 손상을 의미3) 면화반(Cotton Wool Spots, 그림4) : 신경섬유층의 국소적 허혈을 의미한다.

그림 4. 고혈압 망막병증에서 혈관 이외의 망막병변(Extravascular Retinal Lesions) #고혈압성맥락막병증(Hypertensive Choroidopathy) 1) 기전 : 급격한 혈압 상승으로 인한 악성 고혈압 상태 →맥락막혈관의 유섬유괴사(Fibrinoid Necros

그림5. 급성기 Elschnig’s spot – (A) 안저사진: RPE경색에 의한 병변, (B) FAG상 과도한 형광누출 소견.3) 회복된 Elschnig’s spot : 주변부위의 색소감소 – 누출 (-)4) 국소적 망막박리 – 망막색소상피박리 : 맥락막모세혈관폐쇄 → 망막색소상피(RPE)의 기능부전 → 국소적 망막박리 또는 망막색소상피(RPE)의 기능부전 → 국소상막도

그림 6. (A) 국소망막색소 상피박리의 안저 사진과 OCT 사진, (B) Siegrist’s Streak #고혈압성 시신경병증 1) 악성 고혈압 → 유두부종 + 시신경 모세혈관 확장 + 유두 경계 부위 선상 출혈 + 황반부 삼출물 (그림7)

그림 7. 악성 고혈압 환자의 안저 소견 – 유두부종 + 망막 출혈 + 황반 부종이 관찰된다.2) 고혈압으로 인한 유두부종만으로는 시력에 영향을 주지 않지만 황반부를 침범하거나 맥락막 박리 등을 동반하면 시력저하 가능 고혈압성 망막병증이 어떻게 발생하는지, 눈에 고혈압의 흔적을 찾을 수 있는 소견에는 어떤 것이 있는지 살펴보았다.망막혈관의 변화 이외에도 여러 형태로 고혈압에 따른 변화를 보이므로 안저소견을 항상 익혔다가 바로 판단할 수 있어야 한다.
다음 포스팅에서는 오늘 배운 소견을 토대로 고혈압성 망막병증을 분류하는 방법과 치료, 예후 등에 대해 알아본다.
수고 많으셨습니다