안녕하세요 24시 폴동물병원입니다

아*가 체중 감소, 구토 증상으로 병원에 내원했습니다.진료기록카드▶환자정보 Korean Shorthair, 11세, 5.9Kg, 중성화 수컷
▶내원 경위 체중감소, 구토
검사중에는 갑자기 체중이 감소하는 상태였습니다.
6kg 넘는 애가 4kg까지 큰 이유 없이 몸무게가 빠졌는데
건강검진을 실시했습니다.
자세한 내용은 아래 링크를 참고해 주십시오. ^^
https://blog.naver.com/hwrat/220850397403 안녕하세요 폴동물병원입니다.개, 고양이 건강진단에 대해 문의하시는 분들이 많은데 폴동물… blog.naver.com
제일 먼저 피검사를 했어요
빈혈, 백혈구의 수치 등을 평가하는 혈구 검사 결과를 말하는 것입니다.

다음은 간 수치, 신장의 수치 등을 체크하는 혈청 화학 검사의 결과와 몸의 평형을 담당하는 전해질 검사의 결과입니다.

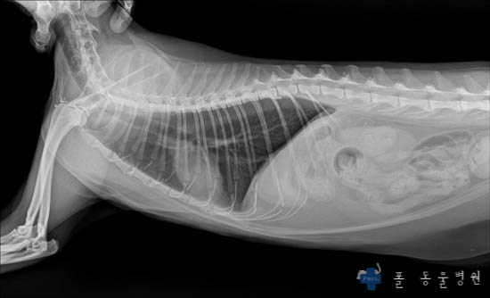
그러면 Xray 촬영을 하게 되는데요.
몸의 골격계, 내부 장기의 형태, 호흡기계 등을 평가하는 중요한 검사입니다.


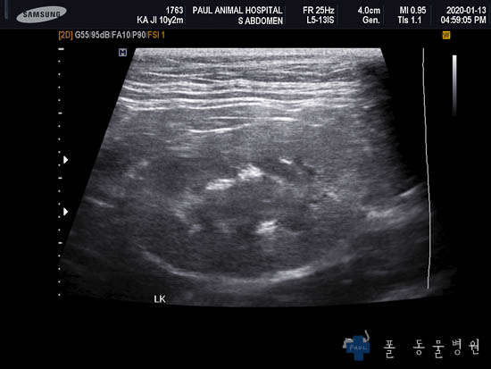
다음은 복부의 장기를 더 자세히 평가할 수 있는 초음파 검사 결과입니다.



종합 검사 결과 갑상선 호르몬의 이상이 의심되어 호르몬 검사를 추가로 실시합니다.

검사 결과
임상증상과 검사내용을 바탕으로 호르몬 질환이 의심되며 ㄱ는 호르몬 검사를 진행하였습니다.
그 결과 갑상선 기능 항진증이라고 진단되었습니다.
진단 후 약물치료를 꾸준히 받고 있는데

곱창 수치도 꽤 좋아졌어요!
앞으로도 잘 관리해서 건강하고 행복했으면 좋겠습니다
파이팅^^갑상샘기능항진증

체중감소, 행동변화 등을 특징으로 하는 증후군으로
갑상선 호르몬 생산과 방출의 이상 증가가 있을 때 발생할 수 있습니다.
갑상선 농도를 유지시키는 경구 약물로 치료하는데
단, 약물의 용량 조절에 주의를 기울이고 주기적으로 치료 모니터링을 해야 합니다.
합병증 예방을 위해서 보통 안 끊고 약을 먹어야 된대요 (눈물)



24시 폴동물병원 카카오톡 : @폴동물병원 031-717-7558 경기도 성남시 분당구 성남대로 385 (분당클리닉빌딩) 102호 (정자동)
진료시간 연중무휴 24시간 진료 주간 진료 09:00 – 20:00 / 야간 진료 22:00 – 09:00
특수동물진료는 예약후 내원해주셔야 합니다^^
경기도 성남시 분당구 성남대로 385102호