편도 결석의 원인 예방 – 방법이 있나요?-

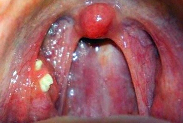
안녕하세요. 편도는 목이나 젖 양쪽으로 튀어나온 부분을 말합니다. 원래 구강으로 유입되는 세균이나 바이러스를 막아주는 역할을 합니다. 편도선이 제 기능을 수행하여 감염되고 음식 찌꺼기 등이 결합되면 편도결석이 발생합니다. 편도결석은 한번 발생하면 재발하기 쉬우므로 편도결석의 원인 예방이 필요합니다. 오늘은 편도결석의 원인 예방 방법에 대해 알려드리겠습니다.

편도 결석의 원인 예방을 위해서는 편도염에 걸리지 않는 것이 중요합니다. 편도선에는 편도선이라는 작은 구멍이 있습니다. 만약 편도염이 자주 재발하게 되면 편도염 구멍이 늘어나서 퍼지게 되는데요. 이로 인해 음식이나 세균, 바이러스가 남기 쉬워지기 때문에 편도 결석의 발생 확률이 증가합니다. 또한 급성 편도염이 발생했을 때 방치하지 않고 치료하며 만성 편도염으로 악화되지 않는 것은 편도결석의 원인 예방 방법입니다.

만약 부비강염이나 비염 등의 코 질환을 앓고 있다면 치료를 하는 것이 좋습니다. 부비강염이나 비염의 주요 증상은 콧물입니다. 콧물이 목 뒤로 넘어가는 것을 후비루라고 합니다. 후비루 증상이 있으면 식도 입구나 목에 흡착할 가능성이 있습니다. 따라서 세균이나 바이러스가 포함된 콧물을 막는 것이 편도결석의 원인 예방 방법입니다. 만약 편도 결석의 원인이 코 질환이라면 치료가 동시에 이루어져야 합니다.

편도 결석의 주요 증상은 구취입니다. 치석이나 충치 등에 의한 것이 아니기 때문에 양치질이나 양치질을 꼼꼼히 해도 사라지지 않습니다. 구취 편도결석의 원인 예방을 위해서는 가까운 이비인후과 방문이 필요합니다. 압출기를 사용하여 편도결석을 쉽게 제거할 수 있습니다. 편도결석이 육안으로 확인되었다고 해서 면봉이나 젓가락 등으로 제거를 시도하는 것은 이차적인 감염 가능성이 있으므로 바람직하지 않습니다.

편도결석이 발생하게 되면 컨디션 불량과 비슷한 증상을 보이는데요. 고열을 동반한 오한이 발생합니다. 또한 목에 아무것도 없음에도 불구하고 뭔가 끼어 있는 것 같은 이물감이 발생하여 헛기침이 좋아집니다. 심하면 인후통이 발생합니다. 특히 어린이들의 경우 목의 이물감이나 통증으로 인해 식사를 거부할 수 있습니다. 한창 성장 중인 어린이들이 충분한 영양섭취를 하지 못할 경우 또래 친구들보다 성장이 늦어질 수 있으므로 편도결석의 원인 예방이 필요합니다.
편도 결석이 자주 재발하면 편도 제거 수술을 할 수 있습니다. 성인의 경우 편도 전체 절제를 원칙으로 합니다. 과거에는 레이저를 이용하여 편도선을 절제했습니다. 최근에는 코브레이터라고 하는 기기를 사용하여 쉽게 수술할 수 있습니다. 코브레이터는 저온 고주파 기기인데요. 편도선의 정상 점막은 보존하지만 병변 발생 부위를 선택적으로 수술할 수 있습니다. 따라서 기존 수술보다 출혈이 적고 회복이 빠르다는 장점이 있습니다.