통증의 정도 1~10 수술 당일 5 수술 2일차 5-6 수술 3일차 6
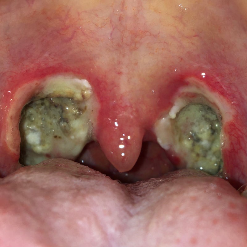
술 전, 후편도 사진 있어요. 싫어주의!! 20대 중반까지는 편도염에 엄청 걸렸고, 현재까지도 편도선이 커서… m.blog.naver.com
2022.09.05 수술 4일차 통증 오전 6-7 평균 8-9

나흘째 되는 내 편도 어제와 마찬가지로 하루하루 지날수록 통증이 점점 커진다.

새벽에 귀까지 아파서 곤약젤리가위로 잘라 그릇에 붓고 조금 먹고 진통제 한 알 먹고 다시 잤다(곤약젤리 씻어 먹을 힘도 없다) 2, 3시간마다 귀까지 아파 잠에서 깼다 TT 아침에는 연두부와 플레인 요구르트를 겨우 먹고 아침 약을 먹는 것이 그동안의 고통은 농담이었다는 생각이 든다.


점심 애호박죽(반만 먹는) 연두부 1개 간식은 아이스 아메리카노 10개 정도.. ㅋㅋ하고 빵
난 빵 ㅋㅋㅋㅋㅋㅋㅋㅋㅋㅋㅋㅋㅋㅋㅋㅋㅋㅋㅋㅋㅋㅋㅋㅋㅋㅋㅋㅋㅋㅋㅋㅋㅋㅋㅋㅋㅋㅋㅋㅋㅋㅋㅋㅋㅋㅋㅋㅋㅋㅋㅋㅋㅋㅋㅋㅋㅋㅋㅋㅋㅋㅋㅋㅋㅋㅋㅋㅋㅋㅋㅋㅋㅋㅋㅋㅋㅋㅋㅋㅋㅋㅋㅋㅋㅋㅋㅋㅋㅋㅋㅋㅋㅋㅋㅋㅋㅋㅋㅋㅋㅋㅋㅋㅋㅋㅋㅋㅋㅋㅋㅋㅋㅋㅋㅋㅋㅋㅋㅋㅋㅋㅋㅋㅋㅋㅋㅋㅋㅋㅋㅋㅋㅋㅋㅋㅋㅋㅋㅋㅋㅋㅋㅋㅋㅋ

간식 연두부 2개 저녁 계란찌기 흰죽 호박죽(점심에 먹다 남은 것) 저녁을 40분간 뚝딱 먹었다
11시쯤 배고파서 아빠 아몬드 브리즈와 요거트
4일째는 너무 아파서 부르는 말에 대답도 거의 못했다.한 10마디 했나? 일단 아파서 목소리가 잘 안나온다
아! 편도수술하신 분께 말하기 힘들때 대신 말해주는 어플 하나 추천드려요!!# 클로버더빙이라는 tts앱인데 음성을 텍스트로, 또는 텍스트를 음성으로 바꾸는 어플입니다.
여자아이, 남자아이, 아이의 목소리로 내가 쓴 텍스트를 음성으로 변환해준다!하준이 목소리가 젬민이처럼 귀여워서 하루종일 엄마랑 저걸로 얘기했어.ㅋㅋㅋㅋㅋ 엄마가 재밌대. 좋아함
아마 잠시 이 앱으로 대화해야 할 것 같은 느낌.
2022.09.06 수술 5일차 통증 8-9 약 먹으면 6-7
5일차 편도는 어제와 크게 다르지 않은 통증도 어제와 별로 다르지 않았다 여전히 아파서 말을 못하고 앱에서 이야기 했다^_^새벽에 2시간마다 깨서 아파서 얼음찜질을 하고 자고 반복..
아침 흰죽, 연두부 1 (매워서 하나만 먹는다)
요거트맛은 내꺼 (10입먹고 더 못먹는 요거트가 시고 목이 아픈것 같아.. 근데 투게더는 이제 징그럽고 목이 말라요 ㅜ 슈팅스타와 아몬드봉봉은 남동충의 슈팅스타를 좋아하는 사람이 있다니;;;
점심 연두부2 흰죽 동생이 갈비찜을 먹고 있어서 흰죽에 갈비찜 양념장만 넣어 먹었다.비참한 내신·ㅅ·
작은 뻥튀기 하나라도 15분간 녹여먹는 나 15분간 희망고문 당하는 준님
점심식사가 빈약해서 5시쯤 연두부 2개와 죽 1그릇 더 먹었다.
저녁맛이 조금 돌아 소고기죽, 계란찜을 곁들인 속세의 죽을 맛보았는데.. 너무 맛있었다.
2022.09.07 수술 6일차 통증 5-7 새벽에는 7일 낮에는 5
경사가 떨어질 기미가 보이지 않지만..
아침연두부2백죽
햇살 아래 부담스러워서 계속 쳐다보는 준님이 얘 존이나 알파카 아닐까…
약이 빨개질 때까지 기다렸다가 나가거나 산책하다 귀여운 버섯을 발견하기도 한다.귀엽다。
전에 먹다 남긴 파바 촉촉한 치즈케이크 오늘 간식 우유에 타먹은 ^_^ 무늬 저 왠지 이유는.. 지금까지 그냥 먹어보려고, 한 조각씩 먹고 목이 아파서 포기한 자국입니다.우유에 타서 먹으면 즐루룩… 진작 이렇게 먹을 걸 그랬어
농심 메밀국수라면 간식 먹고 식욕이 나서 오늘 점심은 호쾌하게 도전(반만 만드는) 메밀국수에 만들기엔 촉촉함이 부족할 것 같아서 물을 좀 더 넣고 냉국수처럼 만들려고 했는데.. 역시 라면은 설명서대로 끓이자.전노 맛.
간식호박죽 엑설런트 2개 오랜만에 빨래돌리러 자취방에 들렀습니다(김에 게임)
탈수 전에 멈춘 세탁기 찾아보니 배수오류.. A/s센터에 전화했더니 다음주 금요일에 오신다고 ㅋㅋㅋㅋㅋㅋㅋㅋㅋㅋㅋㅋㅋㅋㅋㅋㅋㅋㅋㅋㅋㅋㅋㅋㅋㅋㅋㅋㅋㅋㅋㅋㅋㅋㅋㅋㅋㅋㅋㅋㅋㅋㅋㅋㅋㅋㅋㅋㅋㅋㅋㅋㅋㅋㅋㅋㅋㅋㅋㅋㅋㅋㅋㅋㅋㅋㅋㅋㅋㅋㅋㅋㅋㅋㅋㅋㅋㅋㅋㅋㅋㅋㅋㅋㅋㅋㅋㅋㅋㅋㅋㅋㅋㅋㅋㅋㅋㅋㅋㅋㅋㅋㅋㅋㅋㅋㅋㅋㅋㅋㅋㅋㅋㅋㅋㅋㅋㅋㅋㅋㅋㅋㅋㅋㅋㅋㅋㅋㅋㅋ엉망이야.
빨래 때문인지 스트레스 받아서 기운빼서 그런지 더 힘든 밤… 힘없어… 흰죽 백김치 연두부
2022.09.08 수술 7일차 외래진료 통증 오전 8 평균 5
8일째 편도적이 약간 떨어졌다
아침 흰죽두부 2새벽이 되면 통증이.. 아무 말도 못하고 위턱과 이빨과 귀와 측두근까지 아프다.그래도 오늘은 비교적 잘 자는 게 5시간 만에 깼어.오늘은 외래진료 날 아침 일찍 일어난 김에 자취방에서 죽을 먹고 준씨를 데리고 엄마 집으로 갔다.
점심 정체불명의 죽 아몬드브리즈 11시 반쯤 이른 점심 먹고 병원 가려고 나갔는데 죽이 무슨 죽이지? 왜 미역소 같은 게 떠있지?
2시 진료라 영상통화까지 왔다갔다 하면서 중간에 배고플까 봐 아몬드 브리즈와 곤약 젤리 하나를 가방에 넣었다.그리고 배고프고 어지러울때쯤 골목 구석에서 불쌍하게 허겁지겁 먹고 (쓰레기는 가져갔어요)^_^)
원장님이 잘 나으시고 주말이 지나고 나서는 국물에 밥을 타서 드시고 우동, 냉면처럼 찬 거 조금씩 먹어도 된다고 하셨는데 죽만 드시면 안 돼요? 물어보니 당황한 표정으로 잘 먹으면 잘 낫는다고…
아직 아파서 죽만 먹고 싶어요.
약과 아플 때 따로 먹는 진통제를 타고 다음 외래진료는 19일로 정했다.다음 주말 가까워졌을 때는 진통제를 따로 먹는 일은 없지 않느냐고 말씀하셨습니다만, 저도 부디 그랬으면 좋겠습니다.ㅠ 진료비는 11700원, 약값은 9400원 나왔다.
간식, 들깨죽, 5시쯤 집에 도착하자마자 배고파서 들깨죽을 한 사츠마튀겼다.
대충 왜 이제야 됐나 하는 표정.
저녁 영양 닭죽, 두부2
여기저기 움직여서 피곤한 것에 비해 컨디션이 나쁘지 않았다. 이야기도 꽤 많이 했다(물론 아직 큰소리를 내지 않아도 10문장 이상 말하면 너무 아프다) 목소리 변화는 의식적으로 목소리를 작게 내려고 했기 때문에 원래 목소리와 조금 다른 것 같지만 나아지면 나아질 것 같다.큰 차이는 없을 것 같아.
솔직히 음식을 못먹어서 특별히 슬프지는 않아요.(원래 술안주 아니면 별로 음식에 갈망이 없어) 딱 이렇게 일주일 더 아파서 일주일 더 쉴래?라고 누군가가 묻는다면 나는 당연히 00라고 말하고 싶다.
#편도절제술후기 #더웰병원편도수술 #편도수술후음식 #클로버더빙 #편도수술 #편도제거수술