
고양이도 자궁축농증? 중성화되지 않은 암컷에게 나타나는 질병!오늘은 고양이의 자궁 축농증 케이스에 대해 알아보도록 하겠습니다.
6개월 된 암컷 길고양이 미*는 최근 3마리의 아기 출산과 3마리 모두 사망한 것으로 확인된 어미고양이로,
하루 뒤 출산한 세 마리도 사망해 모두 여섯 마리의 아이가 사망했습니다.
그런 미의 기력 상실로 저희 병원에 내원하게 되었습니다.
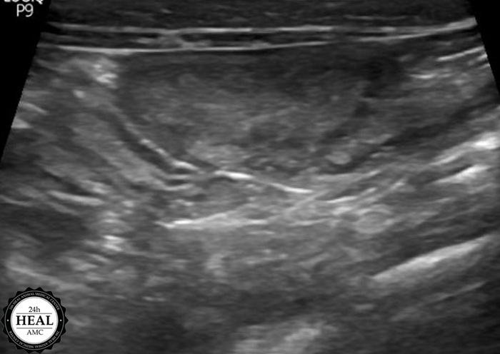
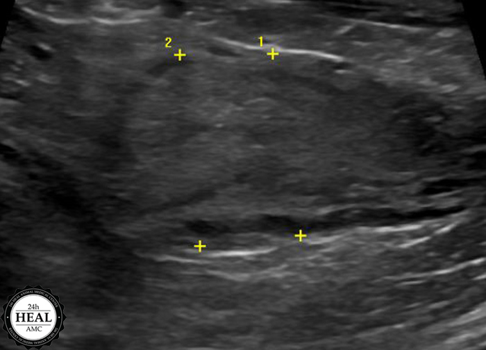
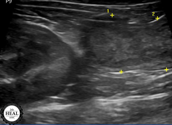
정확한 원인을 파악하기 위해 방사선, 초음파 검사를 실시했습니다.



초음파 검사 결과 미*는 자궁 내 농성이물이 의심되는 소견이 있었습니다.
미씨의 증상이 자궁 축농증일 가능성이 있습니다.고양이 자궁 축농증이란?자궁 내 감염으로 자궁에 고름이 가득 차는 질병으로 심한 복부 통증으로 인해 기력 저하가 나타납니다.
질병이 일어나는 완전한 경로는 밝혀지지 않았지만 일반적으로 성호르몬이 자궁축농증의 원인이기 때문에 알려져 있습니다.
감염은 주로 세균성 감염이 나타나며 감염 경로로는 질내, 요도기계, 분변 등으로 세균성 오염이 시작되는 것으로 추정됩니다.
다발 연령은 7세 이상의 중성화를 하지 않은 암컷으로, 1세 이하로 자궁축농증은 극히 드문 일입니다.
만약 우리 아이가 자궁축농증에 걸리면 재발 방지를 위해서라도 중성화 수술을 해주시는 것이 가장 중요합니다!

고양이의 자궁축농증 증상 기력 저하, 침울, 많은 음수량 및 많은 배뇨, 외음부에 고름 또는 혈액성 분비물이 일반적인 증상이며,
추가적으로는 구토, 설사, 체중 감소, 복압 항진 등이 있습니다.고양이 자궁축농증 진단 초음파를 통해 가장 정확한 진단이 가능하며, 추가적으로는 혈액검사, 소변검사 등이 필요하였습니다.

고양이 자궁축농증 치료자의 궁축농증은 응급상황 질환이므로 입원치료(수액처치, 항생제처치)로 안정화시킨 후 수술을 진행하는 것이 좋습니다.
고양이 미*는 일일 입원 후 수액 처치 및 마취 전 검사를 시행하였으며, 하루 후 자궁축농증 수술을 시행하였습니다.
수술 후 경과를 살펴보면 수술 다음날 식욕과 기력이 조금씩 회복되는 것을 확인하고
2일 후의 식욕과 기력의 정상 회복과 활발한 움직임을 볼 수 있었습니다.
그래서 다음날 퇴원하기로 결정했습니다.

고양이의 자궁축농증 치료 예후 수술 후 2주는 조심해야 하며 산책이나 많은 움직임은 자제를 권장합니다.
몇 주간 항생제를 복용하면서 수술 후 관리, 재발 여부 등을 지켜봐야 합니다.
따라서 여아의 중성화가 되지 않아 외음부에 분비물이 나올 경우 응급으로 인식하고 즉시 내원하여 적절한 검사와 치료가 필요합니다.
미*가 마취에서 잘 깨어나 회복될 수 있도록 24시간 집중관리를 실시하였습니다.
특히 나이가 많으면 더욱 의심이 필요하기 때문에 더욱 주의가 필요합니다.
고양이가 평소와 다른 이상증상이 보이면 빠른 시일 내에 가까운 동물병원에 내원하여
정확한 검사를 통해 안전하게 치료받으세요.