마지막 생리일 +4주 5일 임택이 2행 확인!

최종생리 시작일(9/17)부터 0일로 계산한다.학교다닐때도좀이해가안갔는데어쨌든수정일이하루가되는게아니라난자의성숙시작? 「○일」에서 「○일」로 하는 것 같다.막센+4주5일(21년10월20일) 임택이 2행을 최초로 확인하였다!
남편이 임신 확인하자마자 구입한 인테기 보관함! 주문했다는 소식을 듣고 오줌을 왜 보관한대;;;; 막상 넣어보니까 예쁘네아기가 태어나기 전까지 보관해야지!
이미 아기를 낳은 친구에게 물어봤더니 시간이 지나면 시약선 부분이 노랗게 변해 이상해진다.할게 그전까지 예쁘게 봐야 돼
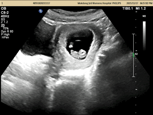
증상은 생리 전의 증상과 거의 비슷해서, 임신이라고는 생각하지 않았다…!배나 가슴, 허리의 통증 정도…?오늘 내일 생리 시작할 줄 알았어.4주 6일 아기집 확인

4주 6일 병원에 가서 아카짱의 집을 확인!10주까지는 질 초음파로 봐 주실 예정.심장 소리를 들을 때 모자수첩을 받기로 했고, 산전검사 결과 갑상선 수치가 경계선에 있어서 갑상선 수치 검사도 그때 같이 하기로 했다!
목동제일여성병원에 다니는데 남편과 함께 진료실에 들어갈 수 있다!
산모를 최대한 배려해 주었기 때문에 남편을 부를 때도 원장&간호사 선생님이 초음파 플루브 삽입 부위는 보이지 않도록 커튼을 치고 남편에게도 모니터만 보라고 안내한다.사실 산모 입장에서는 불편할 수 있지만 근무자 입장에서는 일상이기 때문에 너무나 당연한 것이기 때문에 대수롭지 않게 생각할 수도 있습니다. 사소한 것까지 신경써주셔서 너무 감동.
나도 앞으로 일할 때 환자 중심으로 생각하겠다며 반성했다.
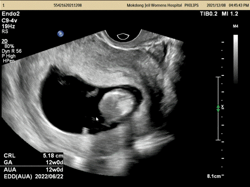
7주 1일 심음 확인

7주 6일 심장 소리 확인!뿅뿅 뛰는 거 진짜 귀여워남편의 대학원 시간때문에 토요일 오후에 진료받는 병원에 갔었는데…후회했다.다음부터 다시 목동제일여성병원에 갈 예정^^
잠이 너무 많아졌어모성보호시간으로 4시에 퇴근하고 집에 와서 일단 2시간 정도 잔다.저녁은 언제나처럼 잔다. 거의 하루에 10시간씩 자는 것 같다.
임신을 확인하고 나서 귀신처럼 입덧이 시작되었다^^;
평소 루틴은 아침 공복으로 출근해 물을 마시고 대충 봄버했지만 식탐이 뻗친 듯 11시 30분에 밥을 먹으러 뛰쳐나가는 것이었다.
배가 고프면 속이 울렁거리고 일어나자마자 뭔가를 꼭 먹어야 한다.아침에 눈 뜨자마자 식빵 하나씩 먹고 하루를 시작!(바바 그대로 토스트존 맛!) 살찔까봐 통밀 식빵으로 바꿔 특유의 신맛이 싫어 그만 먹기로 했다.요기요 파리바게뜨 할인 덕분에 모든 종류의 빵을 먹고 있는데 쫄깃쫄깃한 현지 효모빵은 강력 추천!! 쫀득쫀득한 식감이 너무 좋아!
나의 필수품은 썬키스트과일캔디(오렌지,레몬,포도맛!!)+새콤달콤!!!
커피를 안마시니까 생각보다 제약이 많아져.대형 프랜차이즈 카페인은 대부분 디카페인 커피가 준비되어 있지만 점심시간에 가는 회사근처 저렴한 카페에는 디카페인 커피가 없다^^ 처음에 과일주스 마셨는데 임금님이 올까봐 자제중…. 카페인은 정말 모든 곳에 다 들어있나보구나. 초콜릿 녹차 티라미수 등 오설록 선물 받은 차 세트도 절반 정도는 카페인이 있어 못 먹는 모양이다. ㅜㅜ 삼촌이 주신 카모마일 티 아주 잘 마시고 있어요!!!
8주 5일 갑상선, vitD 수치검사

첫 진료 후 8주 5일 재방문!심장이 두근거리는 것을 확인하고 나서 갑상선수치+비타민D 검사하기로 하고 채혈해오기!
갑상선 약 복용이 필요해 신디로이드 0.05 복용을 시작했다.비타민D 수치도 부족하다는 이유로 액상 vitD와 솔가카르막디(칼슘 마그네슘 비타민D)를 구입했다.
임신하고 날뛰고 변하는 호르몬 때문에 갑상선약도 먹기 시작했지만, 인슐린이면 아무렇지도 않은가 싶어 조금씩 임대의 걱정이 커지고 있다.ㅎ
●11주 5일 소량 출혈로 방문

11주 5일 소량출혈로 방문! 화장실 갔다 왔다가 오줌 싸서 피인가 싶을 정도로 스며 나올 정도의 출혈 발견! 깜짝 놀라서 귀가하자마자 바로 병원 방문! 출혈은 온데간데없다는… 후후 다행인데 기가 죽는다^^;출혈이 있으면 STD검사를 필수라고 하기에 검사하도록 한다.
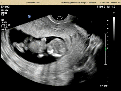
갑자기 3주 사이에 손발이 쑥쑥 자라서ㅜㅜ놀랐다.

12주가 조금 아니었는데 탯줄이 벌써 나와 연결되어 있어ㅜㅜ 신기하다