안녕하세요 동탄2내과 용세봉내과입니다
갑상선이란 목 한가운데 위치한 기도 주위를 나비 모양으로 감싸고 있는 20g 정도의 작은 기관입니다. 갑상선 호르몬을 생산하고 저장하고 있는 필요한 기관으로 내보내는 기능을 하고 있습니다 갑상선 호르몬은 우리 몸의 거의 모든 세포 대사에 관여하게 되는 것입니다. 에너지 생성과 성장 발육을 촉진하고 특히 체온을 조절하는 역할을 합니다. 추울 때 몸을 떨거나 운동할 때 몸에 열이 나는 것은 세포가 영양소를 분해하기 때문인데요. 이 세포가 제대로 기능을 할 수 있도록 돕는 것이 갑상선 호르몬입니다.
갑상선 기능 저하증에 대한 과거의 포스팅을 참조해 주십시오.https://blog.naver.com/yonseibonmed/221561743066 안녕하세요 동탄내과 연세본내과입니다 요즘 많이 더워진 날씨에 여름이 다가온걸 느끼는데 더… blog.naver.com

갑상선 호르몬이 과잉분비(갑상선기능항진증) 혹은 단분비(기능저하증)하는 기능적 질환 이외에 (혈액검사로 진단) 갑상선에는 결절이 발생합니다. 갑상선에 생긴 덩어리를 갑상선 결절이라고 하는데, 악성 결절이 갑상선 암입니다. 악성 결절에는 갑상선 유두암, 갑상선 여포암, 갑상선수질암 등 종양의 기원이 된 세포의 종류와 성숙도에 따라 분류하여 갑상선암이라고 통칭합니다. 통계적으로 결절의 5 ~ 10%가 악성, 나머지는 대부분이 양성 결절이며, 건강상 큰 문제는 없습니다.
2018년 발표한 국가 암등록 통계 자료에 따르면 갑상선암은 전체 암에서 3위(11.4%)를 차지할 정도로 발병 빈도가 높습니다. 특히 남녀 성비가 0.3 대 1로 나타나 여성 갑상샘암 환자가 훨씬 많은 것으로 나타났습니다. 여성암 중에서는 1위를 차지했어요.

2015 암 발생률 – 국가 암정보센터
갑상선암은 초음파로 진단할 수 있으며, 암이 의심되면 세침 흡인 검사로 진단합니다.
지난번 검진에서 우연히 발견된 갑상선암의 증례입니다. https://blog.naver.com/yonseibonmed/221523039398 안녕하세요 동탄내과 연세본내과입니다. 오늘 소개해드릴 내용은 요즘 부쩍부쩍 늘고 있는 갑상선과 갑… blog.naver.com

출처 : baycare.org 갑상선세침 흡인검사 : 초음파 유도 하에 가는 바늘이 들어가 갑상선 결절에서 조직을 얻을 수 있습니다.


갑상선암의 다행스러운 점은 조기 발견하여 수술하면 완치율 98%가 된다는 것입니다. 완치율이 100에 가깝기 때문에 착한 암이라고 불리지만 아무리 선량해도 암이 전이된 경우에는 치명적이기 때문에 특히 초기 갑상선암의 경우에는 증상이 거의 없기 때문에 건강검진을 통해 조기 발견하는 것이 무엇보다 중요합니다.

출처 : 국립암센터
갑상선 종양(암) 증상의 대부분의 갑상선 악성 결절 및 종양(암)은 증상이 없습니다. 결절이 커지고 기도를 누르거나 식도를 누르거나 하면 호흡 곤란이나 음식을 삼킬 때 통증이 생길 수 있습니다. 하지만 드물게 일어나며, 대부분의 갑상선 종양은 증상이 없는 경우가 많습니다.
본원에서 갑상선세침흡인세포검사로 진단받은 갑상선암의 증례가 간혹 이어지는 목 이물감으로 인해 본원에 내원하신 30대 남성이었습니다.갑상선 초음파를 저희 병원에서 시행하였습니다.

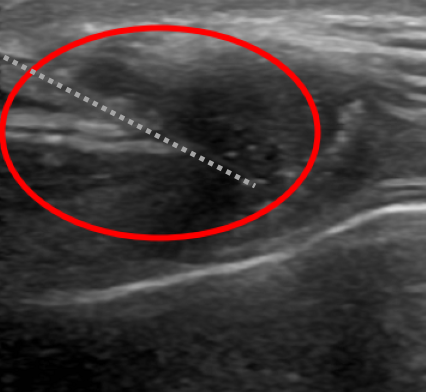
갑상선의 좌우로 연결하는 잘록한 부위에 1.3센티미터 정도의 결절이 관찰되었습니다. 결절 내부에 석회 부분도 함께 세침 흡인 세포 검사를 실시했습니다.


붉은 동그라미 안에 보이는 점선 위에 보이는 반짝반짝한 물체가 바늘이 갑상선 결절을 통과한 모습입니다 바늘을 이용하여 갑상선 결절에서 세포를 흡인하였습니다.
조직 검사 결과 악성 세포가 의심되었습니다.

결과를 확인한 후 상급병원에 의뢰하여 현재 수술 예정입니다.
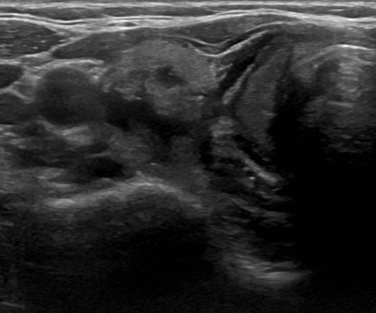
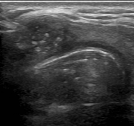
양성 결절로 진단받은 증례 130대 초반의 여성으로 오른쪽 갑상선에 2.7cm 결절이 관찰된다.

세침 흡인 검사 실시


베세다 시스템II에서 악성 가능성이 3% 미만인 양성 결절로 진단 받았습니다.양성 결절로 진단된 증례 2

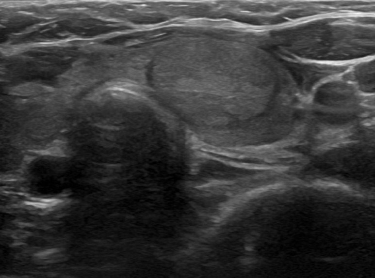
여포성 종양(follicular neopl asm, 소포신생물)이 의심되어 세침흡인검사를 실시하고


다행히도 베세다 시스템II에서 양성결절로 추적을 할 예정입니다
여포성 종양(follicular neoplasm)이라는 선종(aemoma)은 갑상선 결절의 5~10% 정도를 차지하며 여포성 종양(follicular neoplasm. 혹은 소포신생물)과 허들세포 선종(Hurthle celladenoma) 등이 있습니다. 세포소견만으로는 여포성 종양과 여포성 암(foillcular cancer)을 구별할 수 없으므로 세침흡인 검사에서 여포성 종양(follicular neoplasm)이 진단된 경우 수술을 통해 확인해야 합니다.
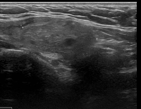
양성 결절로 진단된 증례 3

양성결절로 의심되는 소견이나 최근 커진 느낌(전경부의 불편함, 목의 이물감)이 있어 세포흡인검사를 실시하여 양성소견을 통해 확인하였습니다.
갑상선 결절은 증상이 없어 조기진단이 어렵습니다. 목의 이물감이 있거나 가족력이 있는 경우는 조기검진을 권장합니다.
갑상선암의 치료는?수술이 원칙이며 모든 것을 제거할 수도 있고 일부를 제거할 수도 있습니다.요즘은 최소절개를 하는 로봇수술을 많이 하게되더라구요.
위와 같이 완치율이 100에 가깝기 때문에 쉬운 암이라고 불리는데, 아무리 선량해도 암이 전이된 경우 치명적일 수 있으므로 조기에 발견하는 것이 좋습니다.
연세본내과 의원에서는 제너럴 일렉트릭사의 고급 초음파 장비로 초음파를 실시하고 세침흡인 검사도 실시하고 있습니다. 검사 시간은 10-15분 전후로, 가는 바늘로 마취 후라면 하는 것이 거의 고통 없이, 검사가 가능합니다.전화로 예약하시는 것이 좋습니다만, 오후에 내원하시는 경우는 예약 없이도 검사가 가능합니다.
양성과 악성의 구별이 어려운 결절의 경우 세침흡인검사를 실시할 수 없는 기관에서는 추적검사만을 권장할 수 있으나, 세침흡인검사를 통한 악성도에 대한 확인이 필요합니다.
감사합니다
#동탄내과 #동탄갑상선세침흡인검사 #동탄갑상선내과 #오산갑상선내과 #동탄내분비내과